
Rotura da Coifa dos Rotadores
O ombro é um complexo conjunto de articulações (glenoumeral, e escapulotorácica, acromioclavicular e esternoclavicular) que são responsáveis pela grande amplitude de movimento característica da articulação do ombro e que é fundamental para execução das atividades fundamentais do nosso dia a dia. (Fig. 1)

A coifa dos rotadores é um conjunto de músculos e tendões que envolvem a articulação do ombro permitindo mover a articulação e também comprimir e centralizar a cabeça do úmero em frente à glenóide para manter um eixo estável durante o movimento do ombro.
Os quatro músculos da coifa dos rotadores são o Supraespinhoso, Subescapular, Infraespinhoso e Pequeno redondo. (Fig. 2)

A coifa dos rotadores permite várias formas de movimento, incluindo flexão (levantar o braço acima da cabeça), rotação interna (mover a mão para dentro do lado do corpo, permitindo pôr o braço atrás das costas) e rotação externa (mover a mão para fora do lado do corpo, permitindo pôr a mão atrás da cabeça).
A rotura da coifa dos rotadores pode ocorrer devido a:
– movimentos repetidos: em pacientes que fazem trabalhos com movimentos repetidos com o braço acima do nível da cabeça. Estes movimentos podem originar conflito com a acrômio e assim o desgaste progressivo do tendão e, finalmente, a rotura da coifa dos rotadores.
No desporto, a lesão da coifa dos rotadores também é frequente em modalidades com movimentos repetidos com o braço acima do nível da cabeça como o ténis, andebol ou basebol.
– um evento traumático: quedas com trauma direto do ombro que resulta numa rotura aguda da coifa dos rotadores.
– ou a combinação de ambos os mecanismos.
O tendão que mais frequentemente rompe é o supraespinhoso. (Fig. 3)

Sintomas
Na rotura da coifa dos rotadores um dos sintomas mais frequentes é a dor no ombro. Normalmente é intensa e profunda, outras vezes como uma moedeira. É a dor durante a noite, impedindo o doente de dormir, que torna a dor no ombro por rotura da coifa dos rotadores uma situação difícil de tolerar.
Outros sintomas frequentes são a falta de força e a limitação do arco de mobilidade para as atividades da sua profissão / prática de desporto.
Diagnóstico
O diagnóstico pode ser realizado através de Ecografia e/ou Ressonância Magnética. O RX deve ser realizado para avaliar o estado da articulação, pois este pode influenciar na escolha do tratamento. O RX mostra as alterações ósseas e dá sinais indiretos de lesão dos tendões.
A ecografia é um exame dinâmico que pode mostrar a ação dos tendões em movimento, no entanto a sua qualidade é muito dependente de quem a faz.
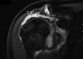
A Ressonância Magnética mostra a localização da rotura, a dimensão, a qualidade do tendão rompido, sendo por isso o exame mais importante numa suspeita de rotura da coifa dos rotadores. (Fig. 4)

Tratamento
Na rotura da coifa dos rotadores do ombro, o tratamento inicial normalmente é conservador, dado que os sintomas podem aliviar após um programa adequado de fisioterapia associado à toma de medicação analgésica e anti-inflamatória.
Em alguns casos, uma injeção intra-articular de corticoide pode ser recomendada. Porque geralmente traz um melhor e mais rápido alívio da dor. Os benefícios podem incluir maior capacidade de dormir à noite e também maior eficácia do programa de fisioterapia.
A fisioterapia pretende assim controlar a dor, restituir a mobilidade e melhorar a força muscular, para explorar a possibilidade de equilibrar mecanicamente o ombro e permitir ao paciente uma vida com qualidade. Quando este tratamento conservador não resulta, é necessário o tratamento cirúrgico.
A cirurgia tem como objetivo reparar a rotura do tendão utilizando âncoras e fios de sutura que permitem reinserir a coifa dos rotadores na zona da cabeça do úmero de onde foi arrancada. (Fig. 5)

Sabe-se que em roturas que ocorrem em tendões já degenerados e em roturas parciais do tendão ou completas mas pequenas, a fisioterapia pode ser uma boa solução.
Há, no entanto, situações em que a fisioterapia não é a melhor solução, como é o caso de uma rotura traumática num tendão de boa qualidade em que a opção cirúrgica é a melhor.
A cirurgia é realizada por artroscopia.
Permite fazer a reparação da coifa através de cirurgia minimamente invasiva através de pequenas incisões na pele que são portais por onde se utilizam instrumentos de trabalho e uma câmara para visualizar o interior da articulação. (Fig. 6)

Estas incisões mais pequenas e estéticas, causam menos dor pós-operatória, permitem preservar as inserções musculares, proporcionando uma alta mais precoce em regime de cirurgia de ambulatório.
Esta abordagem permite também uma reabilitação mais fácil e rápida.
Recuperação
Após a cirurgia da coifa dos rotadores segue-se habitualmente um período de imobilização, com uma suspensão braquial, de mais ou menos 4 semanas. Mesmo antes de iniciar a fisioterapia o paciente é instruído a fazer, no domicílio, movimentos de flexão extensão do cotovelo e punho e movimentos pendulares do membro. Depois deste período inicial a fisioterapia passa para uma fase de mobilização passiva e depois ativa assistida, que deve ser suave e gradual conforme tolerância do paciente.
Só aos 3 meses pós-operatório, a fisioterapia entra na fase de fortalecimento muscular com a utilização de cargas crescentes no treino.
É esperado um período de recuperação entre os 4 a 6 meses.
Dr.ª Tânia Pinto de Freitas
OM 50294